Способность дышать одна из самых важных составляющих в жизнедеятельности любого живого организма. Но, к сожалению, не редко случается так, что владельцы сталкиваются с нарушениями носового дыхания у своих питомцев.
Чихание, сопение, истечение из носа гнойных или кровяных выделений- если вы заметили подобные симптомы у вашего питомца следует обратить на это внимание и обязательно показаться лечащему врачу, так как это может означать наличие серьезных проблем с носовыми ходами у животного.
Причин нарушения носового дыхания у мелких домашних животных довольно много и в них стоит разобраться. Нарушение дыхания может быть острым и хронических, так же могут быть выделения различного характера – гнойные, геморрагические ( кровяные), серозные, может проявляться частым чиханием, иногда «подхрюкиванием», храпом во время сна. Животное может как испытывать дискомфорт, так и не проявлять никаких беспокойств при нарушении носового дыхания. В любом случае необходимо разобраться с причиной, вызывающей нарушение носового дыхания у питомца, что позволит назначить более прицельное лечение, а значит, поможет быстрому выздоровлению.
Нередки случаи нарушения носового дыхания у животных из-за наличия в них инородных тел. Инородные тела попадают в носовые ходы животных при их вдыхании. Удаление этих предметов быстро и просто проводится под эндоскопическим контролем и помогает сразу восстановить носовое дыхание.
Причиной нарушения носового дыхания могут быть врожденные аномалии у котят и щенков. Например, кисты и полипы носовых ходов. Очень часто в нашей практике мы сталкиваемся с маленькими пациентами, в возрасте до года, с нарушением дыхания и различного рода выделениями из носовых ходов. Следует помнить, что в первую очередь, особенно у не вакцинированных животных следует исключить вирусные инфекции у котят и щенков, способные вызывать риниты. Кисты и полипы у молодых животных отлично диагностируются и легко удаляются с помощью эндоскопических технологий. Важна своевременная диагностика и удаление кист и полипов, так как со временем они могут привести к деформации костей лицевого черепа и тяжелым хронических гнойным ринитам.
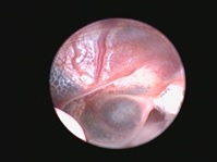
Риноскопия - это эндоскопическое исследование носовых ходов и носоглотки с помощью эндоскопа. Для исследования носовых ходов чаще всего используются жесткие эндоскопы, которые вводятся через ноздри в носовые ходы. Для осмотра носоглотки удобнее применять гибкие эндоскопы, осмотр проводится через ротовую полость. Сама процедура риноскопии проводится с активной санацией физиологическим раствором, что так же оказывает лечебный эффект, особенно при хронических и гнойных ринитах. Во время исследования осматриваются все носовые ходы ( вентральный, средний, дорсальный), а так же полость носоглотки, оценивается цвет слизистой, характер ее повреждений, оценивается проходимость и наличие инородных предметов, кист и новообразований. При обнаружении подозрительных участков слизистой, при хронических ринитах, новообразованиях- проводится взятие материла для гистологического исследования. Гистологическое исследование позволяет поставить более точный диагноз и исключить онкологическую природу заболевания.
Во время риноскопии помимо осмотра проводится и удаление полипов, кист и новообразований. Удаление образований выполняется с помощью специальных эндоскопических инструментов, очень важно, что удаление проводится под эндоскопическим контролем.
В настоящее время диагностика проблем носовых ходов невозможна без применения эндоскопических технологий, так как они позволяют детально осмотреть все структуры, выполнить взятие биопсии, установить точный диагноз и помочь пациенту малоинвазивно и менее травматично.
Стоит отметить, что риноскопия у животных проводится под общей анестезией, поэтому к данной процедуре следует готовиться так же, как и к любой операции. У пород находящихся в группе риска по кардиологическим заболеваниям, а так же у пожилых животных рекомендуем прием кардиолога и при необходимости проведение ЭХО. Необходимый перечень предоперационных исследований ( анализы крови, рентгенография, ЭХО и т.д.) для вашего питомца, можно обсудить на предварительном приеме и осмотре анестезиолога.
При любых проблемах с дыханием у Вашего питомца обязательно покажитесь на прием к лечащему врачу, который назначит необходимые исследования.
Желаем здоровья Вам и Вашему питомцу!
С уважением, Герасимова Анастасия Николаевна, ветеринарный врач, хирург-эндоскопист, СВК Свой Доктор, филиал Люблино
Кисты носовых ходов

крупный полип носоглотки

удаленный полип
